În ultimii ani, protetica dentară s-a îmbunătățit foarte mult. Au apărut noi materiale dentare ce au revoluționat stomatologia. Unul din acestea este Zirconiul, cel mai rezistent tip de material dentar disponibil pe piață la ora actuală.
Este de 5 ori mai rezistent decât porțelanul din lucrările metalo-ceramice clasice. Substanță compusă din >zirconiu și oxigen, având formula chimică ZrO2, acest compus cristalin este cunoscut și sub denumirea de zirconiu-oxid sau zirconă. Zirconul este un metal de tranziție, iar oxidul de zirconiu este una dintre cele mai importante forme ale acestui element în industrie.
Oxidul de zirconiu este un material ceramic cu o serie de proprietăți benefice, ceea ce îl face util în stomatologie pentru diferite aplicații. Iată o prezentare succintă a caracteristicilor și utilizărilor sale în acest domeniu:
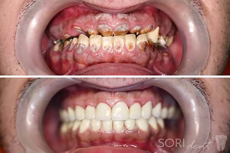
Rezistență și Durabilitate: Oxidul de zirconiu este cunoscut pentru rezistența și durabilitatea sa excepționale. Aceste proprietăți îl fac potrivit pentru fabricarea coroanelor dentare și a altor structuri dentare care trebuie să reziste forțelor de mestecare și abraziunea constantă.
Biocompatibilitate: Un alt avantaj major al oxidului de zirconiu este biocompatibilitatea sa. Materialul este bine tolerat de țesuturile umane, ceea ce reduce riscul de reacții alergice sau respingere la nivel oral.
Estetică: Oxidul de zirconiu are o culoare albă și translucidă, similară aspectului dinților naturali. Acest lucru îl face potrivit pentru aplicații estetice, cum ar fi coroanele dentare în zonele vizibile.
Tehnologie CAD/CAM: Procesul de fabricație asistat de calculator (CAD/CAM) a revoluționat industria stomatologică. Oxidul de zirconiu este frecvent utilizat în sistemele CAD/CAM pentru a crea restaurări dentare precum coroane, punți dentare și implanturi.
Absența Metalului: Un alt beneficiu al oxidului de zirconiu în stomatologie este absența metalelor. Pentru pacienții cu sensibilitate sau alergii la metale, utilizarea acestui material oferă o alternativă excelentă la alte opțiuni, cum ar fi coroanele metalo-ceramice.
Toleranță Termică: Oxidul de zirconiu are o bună toleranță termică, ceea ce îl face rezistent la variațiile de temperatură din cavitatea orală. Acest aspect este important în condițiile de masticare și băut, contribuind la stabilitatea structurilor dentare fabricate din acest material.
Coroane și Punți Dentare:
• Oxidul de zirconiu este frecvent utilizat pentru fabricarea coroanelor dentare și punților datorită durabilității și esteticii sale. Aceste restaurări pot rezista cu succes forțelor de mestecare și asigură un aspect natural.
Implanturi Dentare:
• Structurile implanturilor dentare sunt adesea realizate din oxid de zirconiu. Aceasta oferă o bază solidă pentru coroanele sau punțile care înlocuiesc dinții lipsă, asigurând integrarea stabilă în structura osoasă.
Restaurări CAD/CAM:
• Tehnologia CAD/CAM a adus o revoluție în producția de lucrări dentare, iar oxidul de zirconiu este un material ideal pentru acest proces. Restaurările personalizate pot fi create cu precizie, adaptându-se perfect anatomiei fiecărui pacient.
Inovații în Tehnologia Metal-Free:
• Din ce în ce mai mulți profesioniști adoptă tehnologii metal-free în stomatologie, iar oxidul de zirconiu ocupă un loc central în această tranziție. Pacienții beneficiază astfel de restaurări durabile, estetice și non-alergene.
Tehnica foarte sofisticată de confecționare a coroanelor și punților dentare din Zirconiu, cât și prețul ridicat al Zirconiului ca material fac ca prețul total al unor astfel de lucrări dentare sa fie mai mare decât al unor lucrări clasice metalo-ceramice. Există și producători care oferă lucrări cu conținut mai mic de Zirconiu pentru a scădea prețul acestora, însă acestea nu sunt la fel de rezistente la forțele masticatorii și au risc crescut de fractură, așa că este mai bine să evitați lucrările ieftine.
Desigur că este hotărârea exclusivă a pacientului dacă să își restaureze dinții cu coroane dentare pe suport Zirconiu, în funcție de posibilitățile financiare ale acestuia, însă e întotdeauna indicat să vă sfătuiți cu medicul dentist înainte să luați decizia. Până la urmă, o lucrare dentară nu este ceva ce schimbați zi de zi, ea e menită să vă servească 8-10 ani, asa că e bine să planificați cu atentie.
Pentru a afla prețul unei lucrări dentare de acest tip consultați pagina cu Lista de Prețuri.
Pentru a vedea mai multe dintre cazurile noastre vizitați pagina de Cazuri Clinice.
Zirconiul este cu siguranță viitorul în stomatologie și are foarte multe avantaje pe termen lung.
Cu tehnologia în continuă evoluție, se anticipează că utilizarea oxidului de zirconiu în stomatologie va continua să se extindă. Noile materiale și tehnici vor consolida avantajele deja existente, îmbunătățind performanța și durabilitatea restaurărilor dentare. De asemenea, cercetările în domeniu ar putea aduce inovații în ceea ce privește procesele de producție și adaptabilitatea materialului în diverse condiții clinice.
Oxidul de zirconiu a devenit un pilon în stomatologie, oferind soluții de calitate superioară pentru restaurările dentare. Proprietățile sale notabile, cum ar fi rezistența, biocompatibilitatea și estetica, îl fac un material de referință pentru profesioniștii din domeniul dentar, aducând beneficii semnificative pacienților și avansând calitatea îngrijirii dentare.
Actualizat: 04 Februarie 2024

Un implant dentar este o rădăcină dentară artificială introdusă în osul maxilar sau mandibular pentru a susține o coroană, punte sau proteză dentară, în vederea înlocuirii unuia sau a mai multor dinți lipsă. Este solutia stomatologică optimă și minim invazivă în refacerea edentației (lipsei unui dinte natural) și este de mai multe tipuri și forme, cel mai frecvent folosit fiind implantul dentar endo-osos.

Fațetele dentare sunt folosite în cosmetica dentară, fiind soluția cea mai conservatoare (minim-invazivă) în corectarea problemelor inestetice ale dinților frontali. O fațetă este o foiță fină de ceramică sau oxid de Zirconiu confecționată în laborator prin tehnologia CAD-CAM System, ce se aplică pe suprafața vestibulară (exterioară) a dintelui prin cimentare.

Albirea dentară profesională, contrar zvonurilor, nu afectează cu nimic sănătatea dinților. Ea penetrează smalțul doar pe o adâncime de câteva zeci de microni, scoțând din acesta elementele ce îi dau culoarea gălbuie, remineralizând mai apoi smalțul în noua culoare. Diferența între albirea efectuată în cabinet și cea efectuată acasă este timpul mult mai scurt al celei din cabinet (o singură ședință de o oră).

În cazul primului contact cu o proteză dentară mobilizabilă este indicat în general a se purta cât mai mult timp până la următoarea programare. Este normal ca proteza să jeneze inițial și să apese anumite zone, unde pot apărea ulcerații (leziuni de decubit). Aceste zone incomode ale protezei vor dispărea prin adaptarea ei de către medicul dentist la următoarea programare.