Cazuri Clinice • Stomatologie
Coroane Dentare din Ceramică pe oxid de Zirconiu • Înainte și După Tratament
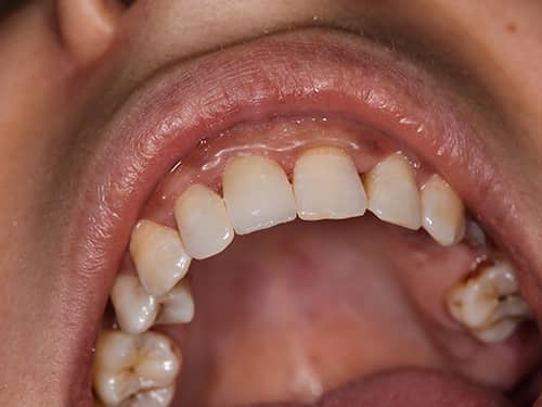
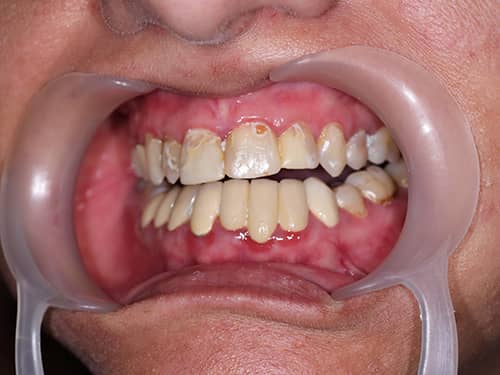
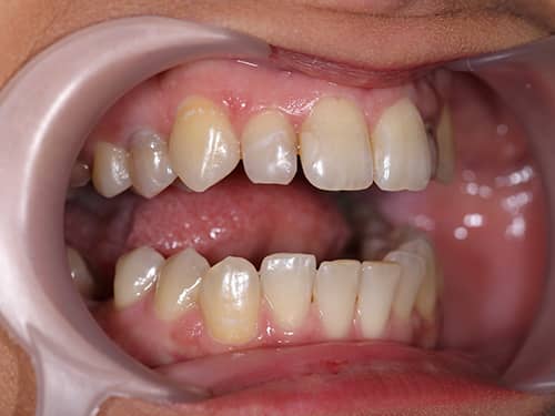
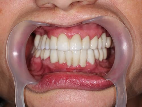
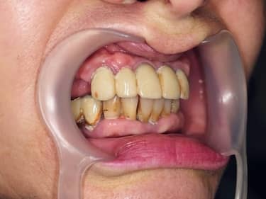
Pacient cu amelogenesis imperfecta - Reabilitare orală completă cu păstrarea majorității dinților naturali - devitalizarea tuturor dinților, inserția de pivoți din fibră de sticlă peste care s-au aplicat coroane dentare protetice din Zirconiu
Coroane Dentare din Ceramică pe Zirconiu • Înainte și După Tratament
Dinți cariați - Refacerea esteticii și a zâmbetului prin șlefuirea dinților și acoperirea acestora cu coronițe dentare din ceramică pe oxid de Zirconiu
Lucrări din porțelan pe Implanturi Dentare • Înainte și După Tratament
Lucrări vechi inestetice, sparte și disfuncționale - Refacerea zâmbetului, a foneticii și a esteticii cu ajutorul implanturilor dentare și a două punți dentare metalo-ceramice peste implanturi
Coroane Dentare din Zirconiu • Înainte și După Tratament
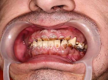
Pacient cu amelogeneză imperfecta - Reabilitare orală completă cu pivoți din Zirconiu peste care s-au aplicat lucrări dentare din Zirconiu
Fațete Dentare ceramice e-Max • Înainte și După Tratament
Dinți frontali închiși la culoare, cu obturații coronare vechi inestetice, ușor malpoziționați - Refacerea zâmbetului și a esteticii prin fațetarea tuturor celor 6 dinți frontali superiori
Coroane și Punți Dentare full-Zirconia • Înainte și După Tratament
Edentații multiple, lucrări protetice dentare vechi și inestetice - Refacerea funcției masticatorii, a zâmbetului și esteticii frontale, a înălțimii etajului inferior al feței prin ablația lucrărilor vechi, înlocuirea acestora, protezarea spatiilor edentate și a dinților ramași cu punți și coroane dentare full-Zirconia
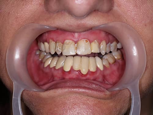
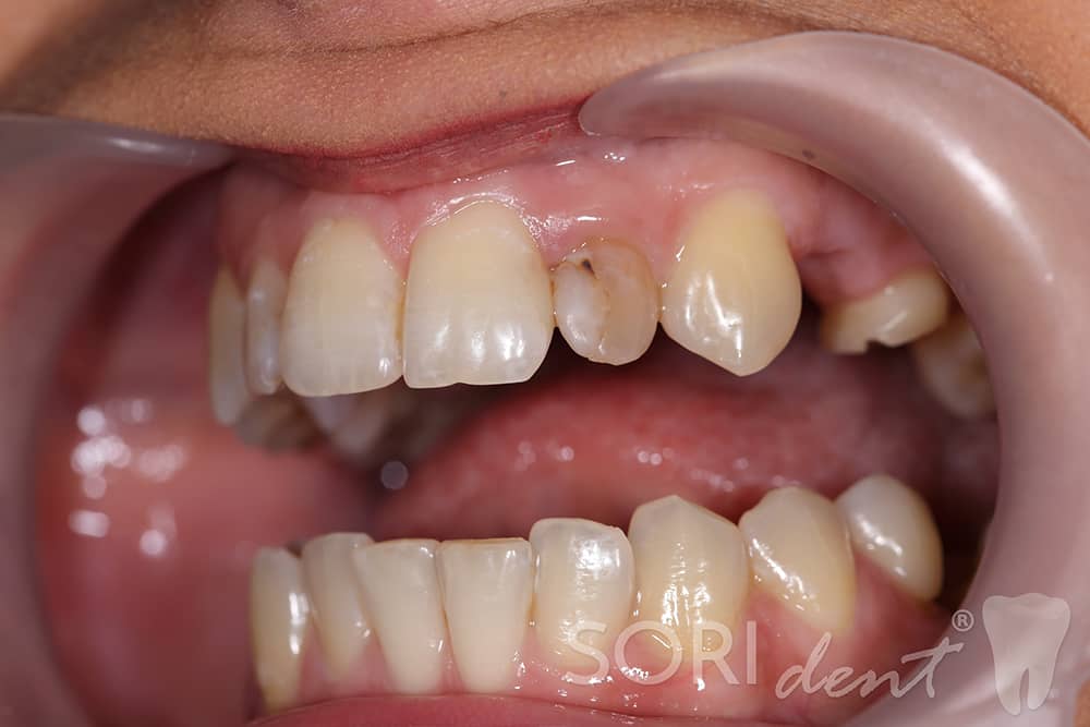
Fațete Dentare și Coroane Integral Ceramice e-max • Înainte și După Tratament
Dinți frontali închiși la culoare, ușor malpoziționați, cu obturații coronare vechi inestetice - Refacerea esteticii și a zâmbetului prin șlefuirea dinților frontali și acoperirea acestora cu fațete dentare ceramice (dinții vitali) și coroane integral ceramice tip E-Max (cei devitalizați)
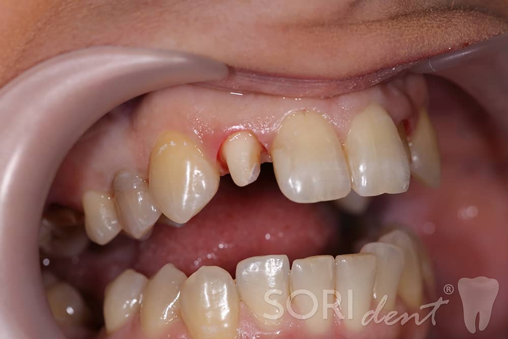
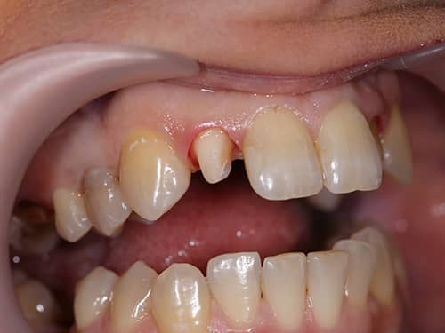
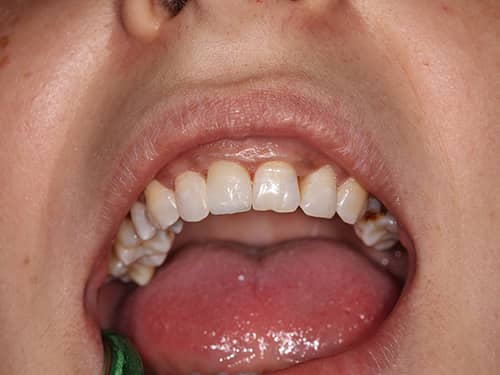
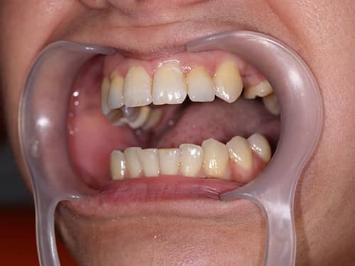
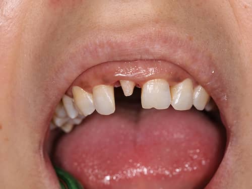
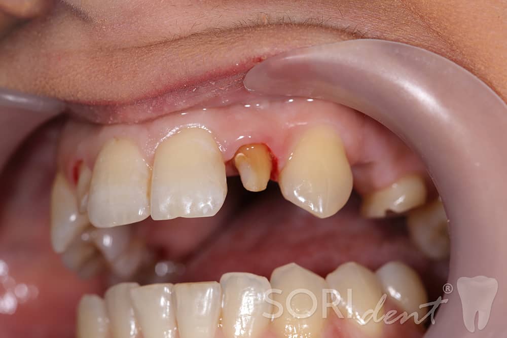
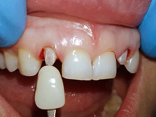
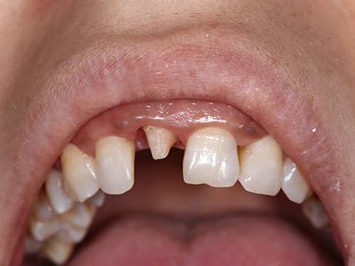
Coroană Dentară e-Max Integral Ceramică pe Dinte Frontal (Incisiv Central Superior) • Înainte și După Tratament
Dinte frontal cu discromie (culoare mai închisă decât a dinților vecini) - Incisivul a fost devitalizat și preparat pentru a fi acoperit cu o coroană protetică integral ceramică de tip e-Max (frezare computerizată CAD-CAM)
Lucrări din Full-Zirconia (oxid de Zirconiu) pe dinți naturali și Implanturi Dentare • Înainte și După Tratament
Lucrări vechi inestetice, sparte și disfuncționale - Refacerea zâmbetului, a foneticii, a esteticii și a masticației cu ajutorul implanturilor dentare și a două punți dentare din oxid de Zirconiu (full-Zirconia) peste implanturi
Albire Dentară cu lampă UV tip Zoom / Beyond / Advanced Whitening • Înainte și După Tratament
Dinți închiși la culoare - S-a dorit modificarea culorii fără a folosi metode invazive (șlefuirea lor și acoperirea cu fațete sau coroane dentare protetice) cu ajutorul metodei de albire dentară cu lampă UV tip Zoom / Beyond / Advanced Whitening timp de 40 de minute (timp total de aplicare a gelului sub lampă în două reprize)
Punte Dentară Metalo-Ceramică • Înainte și După Tratament
Lucrări dentare vechi și mobile și multiple carii - Refacerea funcției masticatorii și estetice superioare printr-o lucrare fixă maxilară metalo-ceramică clasică (porțelan) - va urma refacerea arcadei inferioare
Coroane Dentare ceramice e-Max • Înainte și După Tratament
Incisivi laterali închiși la culoare, cu obturații coronare vechi inestetice - Refacerea zâmbetului și a esteticii cu ajutorul a două coroane integral ceramice (e-Max)
Coroane Dentare din Zirconiu • Înainte și După Tratament
Pacientă cu multiple carii și surâs inestetic - Estetică refăcută prin tratamente odontoterapeutice, endodontice și coronițe protetice din ceramică pe suport din oxid de Zirconiu
Implanturi Dentare și Punte Dentară din Zirconiu • Înainte și După Tratament
Pacientă cu resturi radiculare frontale superioare mobile irecuperabile - Extracții cu inserție de implanturi dentare în aceeași sedință acoperite cu o lucrare din ceramică pe suport din oxid de Zirconiu
Implanturi Dentare și Punte Dentară din Ceramică • Înainte și După Tratament
Edentație terminală extinsă și o lucrare protetică veche fracturată - Inserția a două implanturi dentare și apoi protezarea arcadei superioare prin două punți protetice fixe ceramice
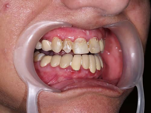
Punți și Coroane Dentare fixe metalo-ceramice • Înainte și După Tratament
Multiple carii și lucrări dentare vechi și inestetice - Refacerea funcției estetice și masticatorii cu ajutorul a două lucrări fixe din metalo-ceramică clasică (porțelan)
Punte Dentară Metalo-Ceramică Clasică • Înainte și După Tratament
Edentație sub-totală superioară - Refacerea funcționalității prin protezarea arcadei superioare cu punte metalo-ceramică clasică (porțelan)
Fațete Dentare și Coroane Integral Ceramice e-max • Înainte și După Tratament
Dinți malpoziționați, incisivi laterali nanici și un zâmbet inestetic - Refacerea funcției estetice superioare prin șlefuirea dinților frontali și acoperirea acestora cu fațete dentare din porțelan (ceramică) pe incisivi și coroane integral ceramice tip E-Max pe canini
Proteze Dentare • Înainte și După Tratament
Edentație totală superioară și termino-terminală inferioară - Refacerea esteticii, fonației și a funcției masticatorii prin confecționarea a două proteze dentare
Implanturi Dentare • All-on-six • Înainte și După Tratament
Edentație totală superioară - Implanturi dentare peste care s-a aplicat o lucrare din porțelan (metoda all-on-6)
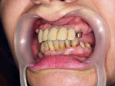
Punți Dentare Metalo-ceramice Fixe cu protezare mixtă (dinți naturali și implanturi dentare) • Înainte și După Tratament
Edentație termino-terminală superioară și latero-laterală inferioară - Refacerea esteticii, fonației și a funcției masticatorii cu ajutorul implanturilor dentare și lucrări protetice fixe cu protezare mixtă (și pe dinți și pe implanturi)
Proteze Dentare Totale • Înainte și După Tratament
Edentație totală superioară și inferioară - Refacerea esteticii, fonației și a funcției masticatorii prin confecționarea a două proteze dentare totale
Implant Dentar • Înainte și După Tratament
Edentație canin superior - Implant dentar peste care s-a aplicat o Coroană dentară din ceramică pe Zirconiu
Coroane Dentare din Zirconiu • Înainte și După Tratament
Aspect inestetic al zâmbetului - Dinții laterali au fost preparați și acoperiți cu Coronițe dentare din ceramică pe suport de Zirconiu
Coroană din Ceramică pe Zirconiu • Înainte și După Tratament
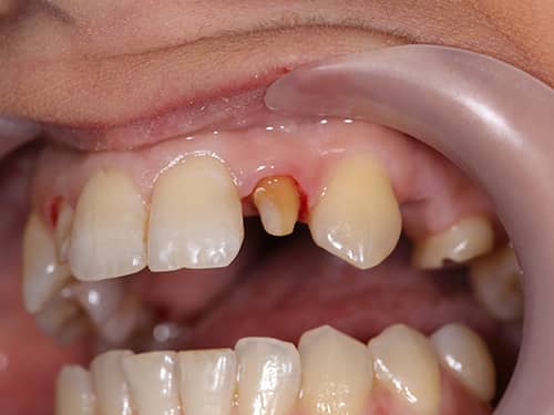
Incisiv central îngălbenit și obturații coronare vechi (plombe) de o formă și culoare inestetice - Șlefuirea și acoperirea incisivului central cu o coroană ceramică pe Zirconiu și înlocuirea obturațiilor coronare
Implant Dentar și Coroane Dentare din Zirconiu • Înainte și După Tratament
Edentație unidentară laterală inferioară și dinți vecini închiși la culoare - Inserția unui implant dentar și șlefuirea dinților vecini, apoi acoperirea acestora cu trei coroane dentare din Zirconiu separate
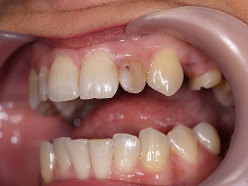
Lucrare Dentară Metalo-Ceramică • Înainte și După Tratament
Malpoziție dentară și o lucrare protetică veche cu aspect inestetic - Refacerea lucrării dentare cu includerea celor doi incisivi malpoziționați
Implanturi Dentare • Înainte și După Tratament
Edentație parțială inferioară - Refacerea funcționalității prin inserția a două implanturi dentare și protezarea cu lucrare protetică fixă metalo-ceramică
Coroane Dentare din Zirconiu • Înainte și După Tratament
Microdonție localizată (focală) - Refacerea formei incisivilor laterali superiori nanici prin acoperirea lor cu coronițe din Zirconiu
Implant Dentar • Înainte și După Tratament
Edentație unidentară laterală - Inserția unui implant dentar și protezarea acestuia cu o coroană metalo-ceramică (porțelan)
Implant Dentar • Înainte și După Tratament
Edentație unidentară (lipsă canin) - Implant dentar inserat în dreptul caninului și protezarea acestuia cu o coroană metalo-ceramică (porțelan)
Fațete Dentare • Înainte și După Tratament
Fațetarea dinților în scopul schimbării formei și a culorii acestora
Proteze Dentare • Înainte și După Tratament
Edentație intercalată superioară și inferioară - Refacerea esteticii, fonației și a funcției masticatorii prin confecționarea a două proteze dentare parțiale
Obturații coronare estetice (plombe) și tratamente de canal (endodontice) • Înainte și După Tratament
Obturații coronare vechi cu carii secundare și infecții dentare repetate - Refacerea tratamentelor de canal, îndepărtarea țesutului dentar cariat și refacerea obturațiilor coronare
Fațete Dentare ceramice e-Max • Înainte și După Tratament
Dinți frontali închiși la culoare, ușor malpoziționați, cu obturații coronare vechi inestetice - Refacerea zâmbetului și a esteticii prin aplicarea de fațete dentare peste toți cei șase dinți frontali superiori
Coroane Dentare ceramice e-Max • Înainte și După Tratament
Incisivi laterali închiși la culoare - Refacerea esteticii cu ajutorul a două coroane integral ceramice (e-Max)
Implanturi Dentare • Înainte și După Tratament
Pacientă cu edentații laterale - Implanturi Dentare acoperite cu coronițe ceramice
Implanturi Dentare • Înainte și După Tratament
Pacientă cu edentație laterală - Implanturi dentare acoperite cu coronițe ceramice
Proteze Dentare Flexiplast • Înainte și După Tratament
Pacientă cu edentație latero-laterală - Proteze Dentare Flexibile - Flexiplast



